We believe prevention of dental diseases is the best, easiest and the cheapest way to maintain a healthy mouth. Dental disease, if detected early, can be treated well with minimum damage to natural teeth and maintain healthy gums.
To implement our preventive philosophies we offer you a comprehensive
which includes screening for tooth decay and advice
on prevention of decay
Instruction in oral hygiene techniques
Oral Cancer screening
Gum disease screening
Minimally invasive tooth
coloured fillings,
Crowns,
Bridges,
Veneers
Root canal therapy with single use disposable instruments under rubber dam.
Teeth whitening
Veneers
Smile recountouring and Smile design.
Removal of wisdom teeth and other minor surgical procedures.
We offer IV sedation for patients who are very anxious about dental treatment. Sedation makes the patients relaxed enough to undergo dental treatment while remaining conscious. Ask your dentist or the team if you want more information about this service.
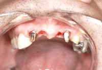
Dental implants are the closest replacement to missing or lost teeth. Dental implants are titanium root forms which unite biologically to the bone. Crowns, bridges and dentures can then be fitted on to them. Dental implants can be used to enhance retention of full dentures and can make a difference to your quality of life.
BEFORE AFTER

Get a brighter and a whiter smile within an hour with our chairside teeth whitening procedure.
Good oral hygiene habits formed in childhood along with enjoying the visit to the dentist go a long way in developing good oral health and awareness of good oral hygiene. Therefore we offer FREE dental and oral examination for children of our registered patients under the age of 16. Any dental treatment necessary will be at subsidised costs.
Protection of children’s front teeth from injury is important while playing sports. We provide custom made sports guard of different colours to protect teeth from sports injury.